Orthodontics
Is it time for a straighter, healthier smile?
Call our practice to discuss orthodontics for you or your child. We’ll assess your needs and create a customised treatment plan, whether your concerns are crowding, wide spacing or even bite misalignments.
Why Braces?
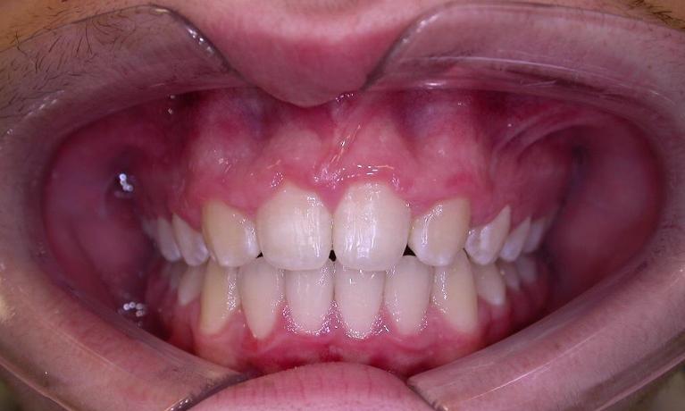
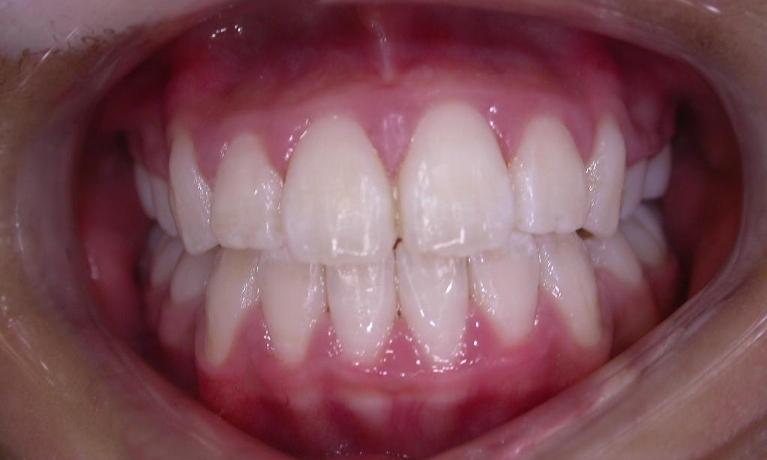
Straighter teeth are healthier teeth.
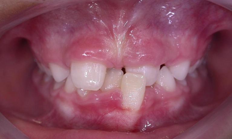
When teeth are tightly packed together, twisted or overlapping, they are more difficult to keep clean. This results in decay, gum disease and other problems.
Widely spaced teeth can also cause issues. The spaces have a tendency to trap food, which can lead to bacterial build-up and bad breath.
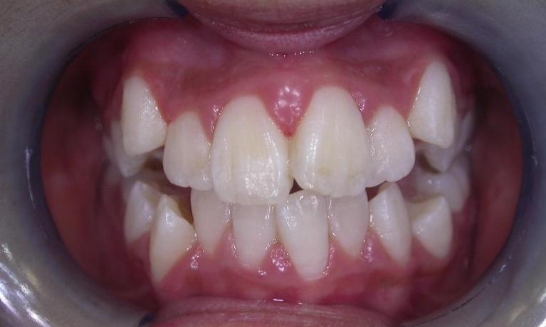
A misaligned bite can also have consequences down the road. When your teeth don’t come together correctly, the result could be a clenching and grinding habit or problems with the jaw joint. These eventually lead to damage to the teeth and pain in the jaw.
We’d like to help you prevent these problems, and braces are often the best solution.
How Braces Work
While different orthodontic options are now available, they simply can’t treat the same range of problems as conventional bracket-and-wire braces.
Every mouth is different, so we’ll design a treatment plan that fits your unique needs. Once you have approved the plan, we’ll begin by cementing the brackets to your teeth. The archwire, which runs through the brackets, does the heavy lifting of adjusting tooth placement. The wire puts pressure on your teeth, nudging them into proper alignment.
If we need additional pressure to guide your teeth, springs or rubber bands may be used. These are also effective when we are correcting bite alignment issues.
Every few weeks, we’ll check your progress and make adjustments. Orthodontic treatment is often completed in phases. This means that we may need to move one section of teeth first to make room for the other section of teeth. Your dentist will discuss this with you when presenting your treatment plan, so you know what to expect.
Orthodontic Retainers
Now that you’ve made an investment in the health of your smile, you’ll want to keep it that way!
Without support, your teeth will eventually drift back to their original positions. That’s where retainers come in. Your custom-made retainer will hold your teeth in place and prevent this problem.
During treatment, your teeth lose some stability. You’ll regain this stability once treatment is complete, but it will take a little while for your bones and gums to adapt. During that time, which is usually a year and could be longer, the retainer will help you maintain your new smile.
Retainers can be either fixed in place or removable. Your dentist will discuss both of these options for you and recommend the best type. This usually depends on a number of factors, including what types of corrections we have made to your teeth.
Would You Like to Learn More?
Arrange an orthodontic evaluation at our practice to find out more about the health of your smile and whether you would benefit from braces or other orthodontic treatment.