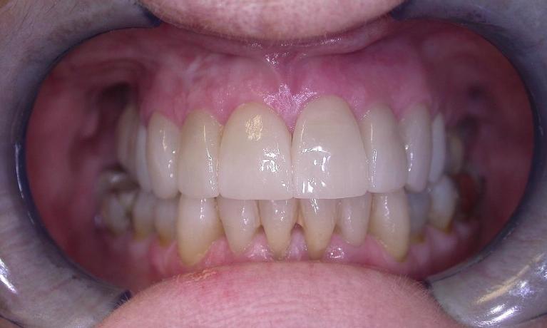
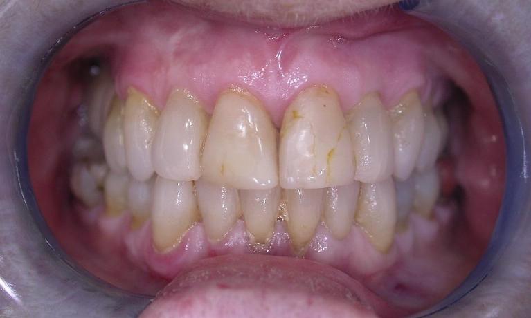
Porcelain Veneers

Porcelain veneers can transform your smile. They are durable and look natural.
Porcelain veneers do not require a lot of preparation, and they can be placed in just two or three visits to the surgery. If you are seeking to improve the appearance of your smile, porcelain veneers may be the solution you've been looking for.
Why Porcelain Veneers?
Porcelain is a strong, slightly translucent material that closely resembles the appearance of your natural tooth enamel. They correct many aesthetic concerns at once without the need for multiple treatment procedures.
Since veneers have a smooth, glass-like finish, they are also resistant to staining.
What Problems Can Porcelain Veneers Fix?
One of the great things about porcelain veneers is that they are so versatile.
Veneers offer many solutions, including:
- Changing the shape of uneven teeth
- Covering chips, cracks and internal stains in teeth
- Concealing gaps between your teeth
- Correcting the appearance of slightly misaligned teeth
How Are Porcelain Veneers Applied?
Before we proceed with any treatment, it’s important for you to have a dental exam. We need to make sure your teeth are healthy so we can determine whether porcelain veneers are the best choice for you.
We start by removing a small bit of tooth enamel so the veneers will fit your teeth properly. Then we take impressions and help you choose the right shade for your finished veneers. The impressions are sent to a dental lab where your veneers are custom-made according to our specifications.
When your veneers are finished, you will return to our clinic and we will bond the veneers securely to the front surface of your teeth. Once they are in place, we check the comfort and bite. With regular dental visits and proper care, your veneers can keep your smile beautiful for many years.
Contact Our Practice for More Information
We would love to hear from you so we can answer all your questions about porcelain veneers. Please contact our clinic for more information or to arrange a consultation.